É o acúmulo de água no meio intracelular(hiperhidratação celular), consequência de desequilibrio no controle do gradiente osmótico no nível da membrana citoplasmática e nos mecanismos de absorção, eliminação de água e eletrólotos celulares.
Com o desequilíbrio iônico entre sódio e potássio o sódio fica retido intracelularmente, provocando a rápida entrada de água na célula e a retenção de potássio extracelularmente.
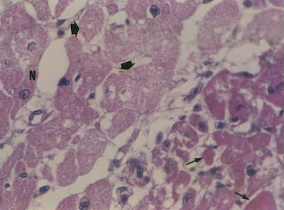
No aspecto microscópico observa-se as células aumentadas de volume, o núcleo deslocado para a periferia, resultado do acúmulo de água. Já no aspecto macroscópico, observa-se, perda da elasticidade do tecido, um brilho característico, aumento no volume tecidual.
Suas possíveis causas se dá pela:
- hipóxia
- infecções bacterianas e virais
- hipertermia
- intoxicações endógenas e exógenas











